În acest articol veți citi despre ce înseamnă petele și nodulii pe plămâni. Mai jos veți vedea și două videoclipuri despre cancerul la plămâni.
Medicul a descoperit o pată pe plămân. Este cancer pulmonar? Vestea bună este că există multe afecțiuni ale plămânilor (care nu sunt cancere) însoțite de astfel de imagini. Totuși, medicul poate să vă recomande explorări suplimentare, mai mult sau mai puțîn invazive, în funcție de caracteristicile imaginii. Nu este întotdeauna foarte ușor de spus dacă sunt necesare investigații suplimentare sau putem să „lăsăm în pace” nodulul.
Cum găsim de regulă un nodul pulmonar?
- O radiografie toracică simplă, făcută pentru simptome respiratorii, boli cronice respiratorii, medicina muncii etc. De regulă astfel găsim nodulii mai mari. Radiografia toracică efectuată periodic NU depistează de regulă cancerul pulmonar în stadii inițiale, deoarece totul poate porni de la un nodul foarte mic (invizibil pe radiografia simplă).
- Computer tomograf (CT) toracic realizat în cadrul altui bilanț, înaintea unei operații, sau din alt motiv. CT-ul toracic cu doză mică de iradiere este o metodă de depistare eficientă a cancerului pulmonar la un anumit grup de persoane: „mari” fumători cu vârstă între 55-74 ani. La aceste persoane, se poate recomanda efectuarea CT-ului chiar dacă nu există nici un simptom. Totuși, efectuarea acestui screening va depista noduli la foarte mulți pacienți (până la 20-50%!)[1]. Clar devine o problema majoră ce facem în această situație. Când este cancer și când este ceva benign, nesemnificativ?

Doar o parte dintre nodulii pulmonari reprezintă un cancer. Nodulii suspecți au anumite caracteristici. Există o serie de factori care cresc riscul ca un nodul să fie cancer:
Factori de risc legați de pacient:
- nodul depistat la un bărbat
- vârsta pacientului > 50 ani
- fumător în prezent sau în trecut
- expunere profesională la substanțe cancerigene: azbest, radon, uraniu
- istoric în familie de cancer pulmonar la rude de gradul I
- diametrul > 1 cm
- nodul cu margini neregulate
- deformează țesutul pulmonar normal
- crește semnificativ în dimensiuni la CT-ul de urmarire în câteva luni
- nu are calcificări (zone foarte strălucitoare pe imaginile CT)
- fixează semnificativ la explorarea PET-CT (tomografie cu emisie de pozitroni) – o explorare ceva mai puțin accesibilă în România
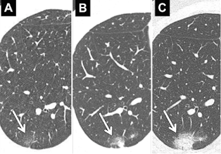
| Evoluția unui nodul pulmonar: A. la depistare; B. CT la 3 luni; C. CT la 6 luni. Sursa foto: Recommendations for the management of subsolid pulmonary nodules detected at CT: a statement from the Fleischner Society. |
În funcție de caracteristicile de mai sus, medicul va recomanda alte investigații sau o urmărire a nodulului prin repetarea periodică a CT-ului.
Dacă probabilitatea de a fi cancer este mare, este nevoie să se facă o biopsie, pentru a vedea ce este de fapt acel nodul. Există metode mai mult sau mai puțin invazive pentru a obține această biopsie. Alegerea metodei depinde foarte mult și de localizarea nodulului:
- bronhoscopie
- puncție transtoracică („înțeparea” nodulului cu un ac ghidat de imaginile CT sau ecografie)
- toracoscopie (o operație minim invazivă, prin care se pot obține probe foarte bune de țesut)
Conduita când ne confruntăm cu un nodul pulmonar este complicată. Ideea este să se evite proceduri invazive și riscante dacă nu este necesar (dacă nodulul are un risc mic de a fi cancer). Totuși, dacă există dubii, este bine să facem un bilanț complet, într-un centru care dispune de toate dotările necesare pentru un diagnostic complet.
Videoclipurile de mai jos oferă explicații suplimentare legate de simptomele cancerului pulmonar și ce etape de diagnostic sunt necesare: